
Relax! Get your minds out of the gutter! I mean shrinkage of your other brain.
I went to a very informative seminar today, led by my doctor, Dr. Bhupendra Khatri. He’s one of the very best specialists in the Midwest (if not in the entire country) and is very involved in research and the treatment of Multiple Sclerosis. He’s a little bit of a medical celebrity, so I figured–hey!–why not check out a free seminar on stuff I had questions about and save a separate onslaught of questions for an office visit?
The topic of this talk was MRIs, something that MS patients know very well. We get them every 6-12 months for the first five years following diagnosis, every other year until year ten, and then every three to four years after that. As you can imagine, this gets very, very expensive (each scan is several thousand dollars and we can count on getting more than one scan each time we go in) and although routine and familiar, it’s a burden–mentally, emotionally, physically, financially. But what does it all mean and what role does each scan play in our prognosis?
My doctor did a wonderful and thorough job explaining what he looks for in scans, putting everything into layman’s terms, and patiently fielding questions along the way. We saw slides of brains with active lesions, old lesions, and brains with permanent damage. I’ve seen all of this before, some on my own MRIs, so these slides didn’t shake me too much.
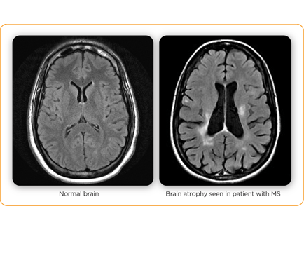
But a little later, Dr. Khatri got to a point in his presentation when he brought up a slide of an MRI patient and pointed out atrophy of the brain, likening it to shriveled cauliflower.

You know, this information wasn’t new to me, but for whatever reason today when I saw my doctor point to a picture of a real person’s brain and show us how it was shrinking…I don’t know. It just pumped me full of fear and sadness. I know that wasn’t the intention, by any means, but I had a weak moment and I let it take over.

No matter the stage or severity of our disease, many of us living with MS are mourning. We struggle with a feeling of loss–the loss of our former lives, our former abilities, our former selves. Getting a diagnosis of MS, particularly at a younger age, changes you. No matter how positive your outlook, you will never look at yourself in the same way. And how can you? Your body is attacking itself, recognizing YOU as an enemy, an impostor.
Multiple Sclerosis can (and does) take away our vision. Our energy. Our balance. Our control over our bladders. Our libido. Our mobility. Our short-term memory. Our focus. Our clarity. Our speech. Our sensations. Our careers. Our relationships.
But our physical brains, too??? Without full use of your legs, you’re still you. If you go blind, you’re still you. But without your mind…who are you? What are you? What do you become?

The thing I love most about my doctor is his bedside manner. Despite his very busy schedule, he takes the time to answer questions and and is truly personally invested in each of his patients. He ended his talk on an encouraging note, discussing treatment options, studies, and the resulting efficacy and outcomes. I left feeling uplifted, but that image of the shrinking brain is tattooed on my own today.
What do you do to keep you mind strong and sharp?
———-
If you have MS or you love someone who does, I highly recommend Dr. Khatri’s latest book, Healing The Soul.
Also, hey! I’m on Facebook, Twitter, and Instagram. Follow me for updates and musings between blog postings!
Want to get updated when I post a new blog entry? Enter your email address in the field on the right side of your screen and get treated to an email alert when I post here! How modern!
Questions, comments, or love letters you don’t feel comfortable posting in the comments below? Email me at itsonlyabruise@gmail.com.

Cat, your blog is very well written…your keen sense of humor and lovely personality shine throughout it while educating us about MS and your journey living with it. I am very proud of you for your strength, talent and courage in the face of your diagnosis…at a very young age. Keep on enlightening us…it is truly making a difference. Sending hugs and love. Susan
LikeLike
Cat, thank you for this blog and the knowledge you are providing on MS. When living with health issues, you must continue to learn about the disease, condition, etc. In this way, you can deal with the challenges you have and will face. You will have the right questions for the answers you seek. I thank you for bringing us along on the journey. You know, we are here if you need us. Sending love today and always. Sally
LikeLike
Pingback: I Hope The Apple Doesn’t Fall Far From the Tree! – It's Only A Bruise
Pingback: A Mother’s Touch – It's Only A Bruise
Pingback: MS-Related Steroid Use and Bone Loss…and some exciting news! – It's Only A Bruise
Pingback: This is only the beginning. – it's only a bruise.